Tel:
+49 (0)241 95 163 153
Fax:
+49 (0)241 95 163 155
E-Mail:
orders@anticorps-enligne.fr

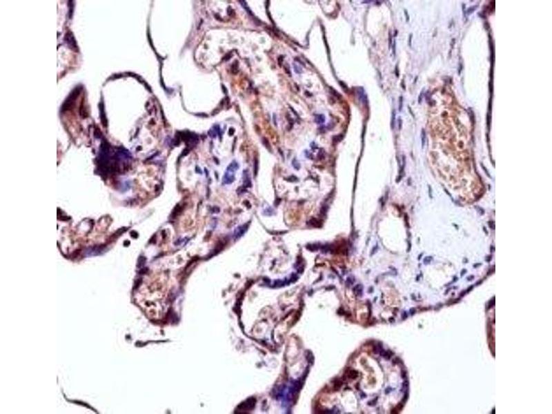
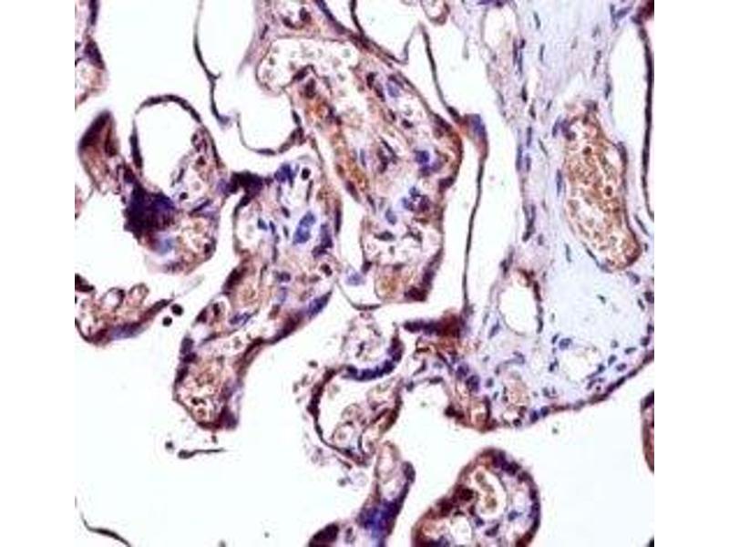
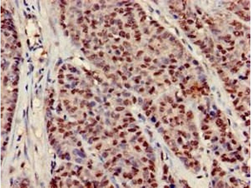
NEDD9 Anticorps

(Neural Precursor Cell Expressed, Developmentally Down-Regulated 9 (NEDD9))

Choisissez l’un des 47 anticorps NEDD9 de notre liste de produits basés sur 6 publications et 49 images de validation.

Découvrez des anticorps NEDD9 fiables issus d’une large sélection de fabricants renommés. Notre portefeuille permet une détection précise de NEDD9 dans plusieurs espèces, y compris Human, Rat, Mouse, Cow, Dog, Guinea Pig, Horse, Monkey, Rabbit, et prend en charge diverses applications de recherche telles que WB, ELISA, IF, IHC, FACS.

Trouvez rapidement l’anticorps adapté grâce à nos outils de recherche, de filtrage et de comparaison. Chaque page produit fournit des données de validation détaillées, des références bibliographiques et des retours d’utilisateurs. Contrairement aux ressources dédiées uniquement à la comparaison, vous pouvez acheter directement les anticorps sur notre site. Choisissez parmi des anticorps polyclonaux, monoclonaux ou recombinants NEDD9, issus de différents hôtes tels que Rabbit, Mouse, Goat. Parcourez nos produits ci-dessous et commandez directement pour soutenir vos recherches en toute confiance.

Les noms alternatifs de NEDD9 sont NEDD9, Nedd9.

47 Résultats

NEDD9 Reactivité: Humain WB, IHC, IF Hôte: Lapin Polyclonal unconjugated
N° du produit ABIN3023331
416,00 €
Plus frais de livraison 40,00 € et TVA
100 μL (Autres quantités disponibles)
Destination: France
Envoi sous 8 à 10 jours ouvrables
 
NEDD9 Reactivité: Humain, Rat, Souris WB, IF, IP, FACS, ICC, IHC (fro) Hôte: Souris Monoclonal 2G9 unconjugated
Pubmed 3 références
N° du produit ABIN108573
764,94 €
Plus frais de livraison 40,00 € et TVA
100 μL (Autres quantités disponibles)
Destination: France
Envoi sous 6 à 8 jours ouvrables
 
NEDD9 Reactivité: Humain, Rat, Souris WB, ELISA, IHC Hôte: Lapin Polyclonal unconjugated
N° du produit ABIN6263585
630,85 €
Plus frais de livraison 40,00 € et TVA
100 μL (Autres quantités disponibles)
Destination: France
Envoi sous 9 à 11 jours ouvrables
 
NEDD9 Reactivité: Humain WB, ELISA, IF Hôte: Souris Monoclonal 1B4 unconjugated
Pubmed 1 reference
N° du produit ABIN561951
846,56 €
Plus frais de livraison 40,00 € et TVA
50 μg
Destination: France
Envoi sous 8 à 9 jours ouvrables
 
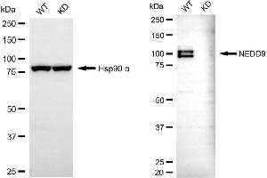
KD Validated NEDD9 Reactivité: Humain WB, FACS, IF (p) Hôte: Souris Monoclonal 25GB670 unconjugated
N° du produit ABIN7799575
598,92 €
Plus frais de livraison 40,00 € et TVA
100 μL
Destination: France
Envoi sous 7 à 10 jours ouvrables
 
NEDD9 Reactivité: Humain WB, IP Hôte: Lapin Polyclonal unconjugated
N° du produit ABIN950023
827,84 €
Plus frais de livraison 40,00 € et TVA
100 μL
Destination: France
Envoi sous 8 à 9 jours ouvrables
 
NEDD9 Reactivité: Humain WB, IF Hôte: Souris Polyclonal unconjugated
N° du produit ABIN518274
846,56 €
Plus frais de livraison 40,00 € et TVA
50 μg
Destination: France
Envoi sous 8 à 9 jours ouvrables
 
Rockland 200-301-904 NEDD9 Reactivité: Humain, Rat, Souris WB, ELISA, IF, IP, FM Hôte: Souris Monoclonal 2G9 unconjugated
Pubmed 1 reference
N° du produit ABIN129518
689,04 €
Frais d'envoi 40,00 €, glace carbonique 20,00 € et TVA exclus
100 μg
Destination: France
Envoi sous 5 à 8 jours ouvrables
Rockland Original
NEDD9 Reactivité: Humain, Rat IHC, IF Hôte: Lapin Polyclonal unconjugated
N° du produit ABIN7260475
696,00 €
Plus frais de livraison 40,00 € et TVA
200 μL (Autres quantités disponibles)
Destination: France
Envoi sous 9 à 13 jours ouvrables
 
Rockland 200-301-912 NEDD9 Reactivité: Humain WB, ELISA, IF, IP, FM Hôte: Souris Monoclonal 14A11 unconjugated
Pubmed 1 reference
N° du produit ABIN129519
689,04 €
Frais d'envoi 40,00 €, glace carbonique 20,00 € et TVA exclus
100 μg
Destination: France
Envoi sous 5 à 8 jours ouvrables
Rockland Original
NEDD9 Reactivité: Humain WB, ELISA, IHC Hôte: Lapin Polyclonal unconjugated
N° du produit ABIN3031968
631,13 €
Plus frais de livraison 40,00 € et TVA
0.4 mL (Autres quantités disponibles)
Destination: France
Envoi sous 6 à 9 jours ouvrables
 
NEDD9 Reactivité: Humain, Rat, Souris WB Hôte: Lapin Polyclonal unconjugated
N° du produit ABIN634649
1.309,82 €
Plus frais de livraison 40,00 € et TVA
100 μL
Destination: France
Envoi sous 13 à 17 jours ouvrables
 
NEDD9 Reactivité: Humain WB Hôte: Lapin Polyclonal unconjugated
N° du produit ABIN2856225
583,17 €
Plus frais de livraison 40,00 € et TVA
100 μL
Destination: France
Envoi sous 7 à 10 jours ouvrables
 
Verified NEDD9 Reactivité: Humain WB, ELISA Hôte: Chèvre Polyclonal unconjugated
N° du produit ABIN334443
488,25 €
Plus frais de livraison 40,00 € et TVA
100 μg
Destination: France
Envoi sous 5 à 8 jours ouvrables
 
NEDD9 Reactivité: Humain ELISA, IHC Hôte: Lapin Polyclonal unconjugated
N° du produit ABIN7151782
394,68 €
Plus frais de livraison 40,00 € et TVA
100 μg (Autres quantités disponibles)
Destination: France
Envoi sous 11 à 15 jours ouvrables
 
NEDD9 Reactivité: Humain WB, ELISA Hôte: Lapin Polyclonal unconjugated
N° du produit ABIN7241474
538,80 €
Plus frais de livraison 40,00 € et TVA
200 μL (Autres quantités disponibles)
Destination: France
Envoi sous 9 à 13 jours ouvrables
 
NEDD9 Reactivité: Humain WB, IHC (p) Hôte: Lapin Polyclonal unconjugated
N° du produit ABIN5534368
730,13 €
Plus frais de livraison 40,00 € et TVA
400 μL
Destination: France
Envoi sous 6 à 9 jours ouvrables
 
NEDD9 Reactivité: Humain, Rat, Souris, Chien, Boeuf (Vache), Cobaye, Cheval, Lapin WB, IHC Hôte: Lapin Polyclonal unconjugated
N° du produit ABIN2784461
470,22 €
Plus frais de livraison 40,00 € et TVA
100 μL (Autres quantités disponibles)
Destination: France
Envoi sous 6 à 9 jours ouvrables
 
NEDD9 Reactivité: Humain WB, ELISA Hôte: Lapin Polyclonal unconjugated
N° du produit ABIN7227604
748,34 €
Plus frais de livraison 40,00 € et TVA
100 μL (Autres quantités disponibles)
Destination: France
Envoi sous 10 à 14 jours ouvrables
 
NEDD9 Reactivité: Humain Hôte: Lapin Polyclonal FITC
N° du produit ABIN7151784
394,68 €
Plus frais de livraison 40,00 € et TVA
100 μg (Autres quantités disponibles)
Destination: France
Envoi sous 11 à 15 jours ouvrables
 
  • Type Primary
    • Primary
  • Application
    • Western Blotting (WB)
    • ELISA
    • Immunofluorescence (IF)
    • Immunohistochemistry (IHC)
    • Flow Cytometry (FACS)
    • Immunoprecipitation (IP)
    • Immunocytochemistry (ICC)
    • Fluorescence Microscopy (FM)
    • Immunofluorescence (Paraffin-embedded Sections) (IF (p))
    • Immunohistochemistry (Frozen Sections) (IHC (fro))
    • Immunohistochemistry (Paraffin-embedded Sections) (IHC (p))
  • Réactivité
    • Human
    • Rat
    • Mouse
    • Cow
    • Dog
    • Guinea Pig
    • Horse
    • Monkey
    • Rabbit
  • Cité dans publications
  • Images disponible
  • Sans conservateur uniquement
  • Carrier free only
  • Hote
    • Rabbit
    • Mouse
    • Goat
  • Clonalité
    • Polyclonal
    • Monoclonal
  • Clone
    • 2G9
    • 11n135
    • 14A11
    • 1B4
    • 25GB670
    • 3F7A9
    • BLR248L
  • Epitope
    • AA 68-151
    • AA 335-363
    • AA 82-398
    • Internal Region
    • AA 1-834
    • Center
    • Middle Region
    • AA 101-200
    • AA 150-200
    • AA 153-366
    • AA 273-421
    • AA 60-174
    • C-Term
    • Ser369
    • pSer369
  • Conjugué
    • Inconjugué
    • Alexa Fluor 488
    • Alexa Fluor 555
    • Alexa Fluor 594
    • Alexa Fluor 647
    • Alexa Fluor 680
    • Alexa Fluor 750
    • Biotin
    • FITC
    • HRP
  • Isotype
    • IgG
    • Ig Fraction
    • IgG1
    • IgG1 kappa
    • IgG2a
    • IgG2b kappa
  • Type Proteine
    • Recombinant Antibody
  • Format
    • Liquid
    • Lyophilized
  • Grade
    • KD Validated
    • Verified
  • Supplier
    • antibodies-online
    • Signalway
    • USBio
    • Cohesion Biosciences
    • Rockland
    • Abbexa
    • Abiocode
    • Aviva Systems Biology
    • Boster Bio
    • Covalab
    • NSJ Bioreagents
    • ProSci
    • RayBiotech

Dernières publications pour nos NEDD9 Anticorps

Zhou, Xu, Shen, Liu, Chen, Cai: "Overexpression of NEDD9 promotes cell invasion and metastasis in hepatocellular carcinoma." dans: Clinics and research in hepatology and gastroenterology, Vol. 41, Issue 6, pp. 677-686, (2018) (PubMed).

Santos, Blair, Kumari, Cammer, Iskratsch, Herbin, Alexandropoulos, Dustin, Sheetz: "Actin polymerization-dependent activation of Cas-L promotes immunological synapse stability." dans: Immunology and cell biology, Vol. 94, Issue 10, pp. 981-993, (2016) (PubMed).

Liu, Wang, Zhao, Zhu, Yin, Wei, Wu, Cheng, Wang, Ni, Wang, Cao, Huang, Cai: "NEDD9 overexpression correlates with poor prognosis in gastric cancer." dans: Tumour biology, Vol. 35, Issue 7, pp. 6351-6, (2014) (PubMed).

Tomkiewicz, Herry, Bui, Métayer, Bourdeloux, Barouki, Coumoul: "The aryl hydrocarbon receptor regulates focal adhesion sites through a non-genomic FAK/Src pathway." dans: Oncogene, Vol. 32, Issue 14, pp. 1811-20, (2013) (PubMed).

Zhong, Baquiran, Bonakdar, Lees, Ching, Pugacheva, Fabry, ONeill: "NEDD9 stabilizes focal adhesions, increases binding to the extra-cellular matrix and differentially effects 2D versus 3D cell migration." dans: PLoS ONE, Vol. 7, Issue 4, pp. e35058, (2012) (PubMed).

Lim, Chen, Tomar, Miller, Yoo, Schlaepfer: "Knock-in mutation reveals an essential role for focal adhesion kinase activity in blood vessel morphogenesis and cell motility-polarity but not cell proliferation." dans: The Journal of biological chemistry, Vol. 285, Issue 28, pp. 21526-36, (2010) (PubMed).

Li, Grupe, Rowland, Holmans, Segurado, Abraham, Jones, Catanese, Ross, Mayo, Martinez, Hollingworth, Goate, Cairns, Racette, Perlmutter, ODonovan, Morris, Brayne, Rubinsztein, Lovestone, Thal, Owen et al.: "Evidence that common variation in NEDD9 is associated with susceptibility to late-onset Alzheimer's and Parkinson's disease. ..." dans: Human molecular genetics, Vol. 17, Issue 5, pp. 759-67, (2008) (PubMed).

Kim, Gans, Nogueira, Wang, Paik, Feng, Brennan, Hahn, Cordon-Cardo, Wagner, Flotte, Duncan, Granter, Chin: "Comparative oncogenomics identifies NEDD9 as a melanoma metastasis gene." dans: Cell, Vol. 125, Issue 7, pp. 1269-81, (2006) (PubMed).

Regelmann, Danzl, Wanjalla, Alexandropoulos: "The hematopoietic isoform of Cas-Hef1-associated signal transducer regulates chemokine-induced inside-out signaling and T cell trafficking." dans: Immunity, Vol. 25, Issue 6, pp. 907-18, (2006) (PubMed).

Bargon, Gunning, ONeill: "The Cas family docking protein, HEF1, promotes the formation of neurite-like membrane extensions." dans: Biochimica et biophysica acta, Vol. 1746, Issue 2, pp. 143-54, (2005) (PubMed).

Pseudonymes pour NEDD9 Anticorps

neural precursor cell expressed, developmentally down-regulated 9 (NEDD9) Anticorps
neural precursor cell expressed, developmentally down-regulated 9 (Nedd9) Anticorps
neural precursor cell expressed, developmentally down-regulated gene 9 (Nedd9) Anticorps
CAS-L Anticorps
Cas-L Anticorps
CAS2 Anticorps
CASL Anticorps
CasL Anticorps
CASS2 Anticorps
E230025G09Rik Anticorps
HEF1 Anticorps
NEDD9 Anticorps
Vous êtes ici:
Chat with us!