RICTOR anticorps (C-Term)
Aperçu rapide pour RICTOR anticorps (C-Term) (ABIN185390)
Antigène
Voir toutes RICTOR AnticorpsReactivité
Hôte
Clonalité
Conjugué
Application
Classe de qualité
-
-
Épitope
- C-Term
-
Fonction
- RICTOR
-
Séquence
- KQPIVDTSAE S
-
Réactivité croisée
- Chien, Humain, Souris
-
Purification
- Purified from goat serum by ammonium sulphate precipitation followed by antigen affinity chromatography using the immunizing peptide.
-
Immunogène
- C-KQPIVDTSAES
-
Isotype
- IgG
-
-
-
-
Indications d'application
-
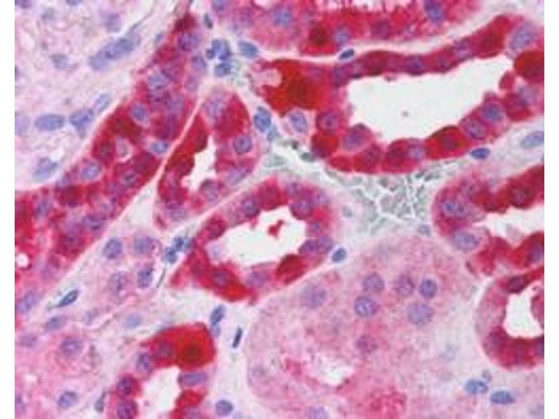
Immunohistochemistry: In paraffin embedded Kidney shows strong cytoplasmic staining of epithelial cells in distal convoluted tubules. Recommended concentration, 2-3 μg/mL.
Western Blot: Preliminary experiments gave an approx 38 kDa band in Human Lung Carcinoma A549 cell line and cervix epitheloid carcinoma cell line HeLa lysates after 0.1 μg/mL antibody staining. Please note that currently we cannot find an explanation in t
Peptide ELISA: antibody detection limit dilution 1:4000.
-
Restrictions
- For Research Use only
-
-
-
Format
- Liquid
-
Concentration
- 0.5 mg/mL
-
Buffer
- Supplied at 0.5 mg/mL in Tris saline, 0.02 % sodium azide, pH 7.3 with 0.5 % bovine serum albumin.
-
Agent conservateur
- Sodium azide
-
Précaution d'utilisation
- This product contains Sodium azide: a POISONOUS AND HAZARDOUS SUBSTANCE which should be handled by trained staff only.
-
Conseil sur la manipulation
- Minimize freezing and thawing.
-
Stock
- -20 °C
-
Stockage commentaire
- Aliquot and store at -20°C, with minimal freeze/thawing. A working aliquot may be refrigerated at 4°C for a few weeks and still remain viable.
-
-
- RICTOR (RPTOR Independent Companion of mTOR, Complex 2 (RICTOR))
-
Autre désignation
- RICTOR
-
Sujet
- RICTOR, Rictor, KIAA1999, AVO3, MGC39830, likely ortholog of mouse TORC2-specific protein AVO3 (S. cerevisiae), rapamycin-insensitive companion of mTOR, mAVO3, pianissimo, DKFZp686B11164, RPTOR independent companion of MTOR, complex 2, PIA, mAVO3, TORC2-s
-
ID gène
- 253260, 78757
-
NCBI Accession
- NP_689969
-
Pathways
- Fc-epsilon Receptor Signaling Pathway, EGFR Signaling Pathway, Neurotrophin Signaling Pathway, Regulation of Actin Filament Polymerization, CXCR4-mediated Signaling Events
Antigène
-