Tel:
+49 (0)241 95 163 153
Fax:
+49 (0)241 95 163 155
E-Mail:
orders@anticorps-enligne.fr

BAD anticorps

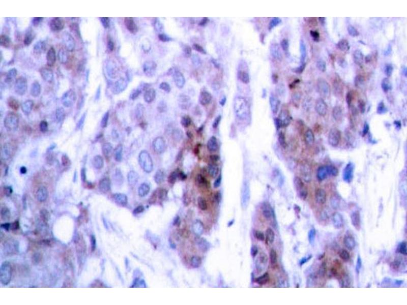
Cet anticorps Lapin Polyclonal détecte spécifiquement BAD dans WB et IHC (p). Il présente une réactivité avec des échantillons de Humain, Souris et Rat.
N° du produit ABIN271900
686,15 €
Plus frais de livraison 40,00 € et TVA
0.1 mg
Destination: France
Envoi sous 17 jours ouvrables

Aperçu rapide pour BAD anticorps (ABIN271900)

Antigène

Voir toutes BAD Anticorps
BAD (BCL2-Associated Agonist of Cell Death (BAD))

Reactivité

  • 378
  • 229
  • 154
  • 18
  • 10
  • 7
  • 4
  • 4
  • 3
  • 2
  • 1
  • 1
  • 1
  • 1
  • 1
Humain, Souris, Rat

Hôte

  • 444
  • 15
  • 1
Lapin

Clonalité

  • 420
  • 40
Polyclonal

Conjugué

  • 186
  • 39
  • 35
  • 35
  • 32
  • 29
  • 6
  • 6
  • 6
  • 6
  • 6
  • 6
  • 6
  • 6
  • 6
  • 6
  • 6
  • 6
  • 6
  • 6
  • 6
  • 6
  • 6
  • 1
  • 1
Cet anticorp BAD est non-conjugé

Application

  • 260
  • 246
  • 163
  • 103
  • 81
  • 80
  • 60
  • 59
  • 33
  • 23
  • 21
  • 21
  • 10
  • 2
  • 2
  • 1
  • 1
  • 1
  • 1
  • 1
Western Blotting (WB), Immunohistochemistry (Paraffin-embedded Sections) (IHC (p))
Vous êtes ici:
Chat with us!