BAD anticorps (AA 119-168)
Aperçu rapide pour BAD anticorps (AA 119-168) (ABIN2878954)
Antigène
Voir toutes BAD AnticorpsReactivité
Hôte
Clonalité
Conjugué
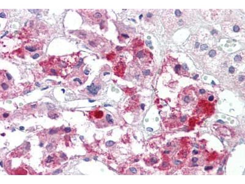
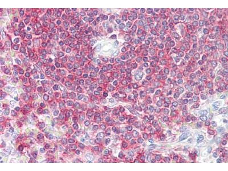
Application
-
-
Épitope
- AA 119-168
-
Specificité
- BAD (Ab-155) Antibody detects endogenous levels of total BAD protein.
-
Purification
- Immunoaffinity purified
-
Immunogène
-
Synthetic peptide from human BAD (aa119-168).
Type of Immunogen: Synthetic peptide -
Isotype
- IgG
-
-
-
-
Indications d'application
- Approved: IHC, IHC-P (1:100), Peptide-ELISA (1:10000), WB (1:500 - 1:1000)
-
Commentaires
-
Target Species of Antibody: Human
-
Restrictions
- For Research Use only
-
-
-
Format
- Liquid
-
Concentration
- Lot specific
-
Buffer
- PBS (without Mg2+, Ca2+), pH 7.4, 150 mM sodium chloride, 0.02 % sodium azide, 50 % glycerol
-
Agent conservateur
- Sodium azide
-
Précaution d'utilisation
- This product contains Sodium azide: a POISONOUS AND HAZARDOUS SUBSTANCE which should be handled by trained staff only.
-
Stock
- -20 °C
-
Stockage commentaire
- Store at -20°C for up to 1 year.
-
Date de péremption
- 12 months
-
-
- BAD (BCL2-Associated Agonist of Cell Death (BAD))
-
Autre désignation
- BAD
-
Sujet
-
Name/Gene ID: BAD
Family: Apoptosis
Synonyms: BAD, BBC2, Bcl-2-like protein 8, BCL2-binding component 6, BCL2L8, BBC6, BCL-X/BCL-2 binding protein, Bcl-2-binding component 6, Bcl2 antagonist of cell death, BCL2-binding protein, Bcl2-L-8 -
ID gène
- 572
-
UniProt
- Q92934
-
Pathways
- Signalisation MAPK, Signalisation PI3K-Akt, Signalisation RTK, Apoptose, Fc-epsilon Receptor Signaling Pathway, Positive Regulation of Peptide Hormone Secretion, Carbohydrate Homeostasis, Positive Regulation of Endopeptidase Activity, Regulation of Carbohydrate Metabolic Process, Hepatitis C, CXCR4-mediated Signaling Events
Antigène
-