Tel:
+49 (0)241 95 163 153
Fax:
+49 (0)241 95 163 155
E-Mail:
orders@anticorps-enligne.fr

HGF Anticorps

(Hepatocyte Growth Factor (Hepapoietin A, Scatter Factor) (HGF))

Choisissez l’un des 129 anticorps HGF de notre liste de produits basés sur 26 publications et 53 images de validation.

Découvrez des anticorps HGF fiables issus d’une large sélection de fabricants renommés. Notre portefeuille permet une détection précise de HGF dans plusieurs espèces, y compris Human, Mouse, Rat, Sheep, Dog, Rabbit, Cow, Horse, Fall Armyworm, Guinea Pig, Hamster, Monkey, Pig, Bat, Zebrafish (Danio rerio), et prend en charge diverses applications de recherche telles que WB, IHC, ELISA, IP, ICC.

Trouvez rapidement l’anticorps adapté grâce à nos outils de recherche, de filtrage et de comparaison. Chaque page produit fournit des données de validation détaillées, des références bibliographiques et des retours d’utilisateurs. Contrairement aux ressources dédiées uniquement à la comparaison, vous pouvez acheter directement les anticorps sur notre site. Choisissez parmi des anticorps polyclonaux, monoclonaux ou recombinants HGF, issus de différents hôtes tels que Rabbit, Mouse, Human. Parcourez nos produits ci-dessous et commandez directement pour soutenir vos recherches en toute confiance.

Les noms alternatifs de HGF sont HGF, Hgf.

129 Résultats

HGF Reactivité: Humain WB, PLA Hôte: Lapin Polyclonal unconjugated
Pubmed 1 reference
N° du produit ABIN516424
636,80 €
Plus frais de livraison 40,00 € et TVA
100 μg
Destination: France
Envoi sous 8 à 9 jours ouvrables
 
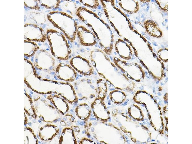
HGF Reactivité: Humain, Rat, Souris, Chien, Mouton, Lapin, Boeuf (Vache), Cheval, Cobaye, Porc, Poisson zèbre (Danio rerio) WB, IHC Hôte: Lapin Polyclonal unconjugated
Pubmed 5 références
N° du produit ABIN2781816
534,11 €
Plus frais de livraison 40,00 € et TVA
100 μL (Autres quantités disponibles)
Destination: France
Envoi sous 6 à 9 jours ouvrables
 
HGF Reactivité: Humain WB, FACS, IHC (p) Hôte: Lapin Polyclonal RB09924 unconjugated
Pubmed 2 références
N° du produit ABIN388462
434,77 €
Plus frais de livraison 40,00 € et TVA
400 μL (Autres quantités disponibles)
Destination: France
Envoi sous 14 à 17 jours ouvrables
 
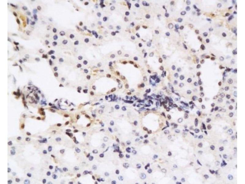
HGF Reactivité: Humain WB, IHC, ELISA, FACS Hôte: Lapin Polyclonal unconjugated
N° du produit ABIN3031186
631,13 €
Plus frais de livraison 40,00 € et TVA
0.4 mL (Autres quantités disponibles)
Destination: France
Envoi sous 6 à 9 jours ouvrables
 
HGF Reactivité: Rat WB, IHC, IP, ICC Hôte: Lapin Polyclonal unconjugated
N° du produit ABIN7430570
304,89 €
Plus frais de livraison 40,00 € et TVA
100 μL (Autres quantités disponibles)
Destination: France
Envoi sous 11 à 15 jours ouvrables
 
HGF Reactivité: Souris WB, IHC, IP, ICC Hôte: Lapin Polyclonal unconjugated
N° du produit ABIN7430567
293,45 €
Plus frais de livraison 40,00 € et TVA
100 μL (Autres quantités disponibles)
Destination: France
Envoi sous 11 à 15 jours ouvrables
 
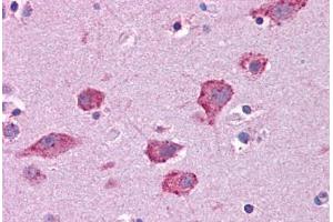
HGF Reactivité: Humain, Rat, Souris, Mouton WB, ELISA, IHC (p), IF (cc), IF (p), IHC (fro) Hôte: Lapin Polyclonal unconjugated
Pubmed 6 références
N° du produit ABIN736551
357,70 €
Plus frais de livraison 40,00 € et TVA
100 μL
Destination: France
Envoi sous 8 à 12 jours ouvrables
 
HGF Reactivité: Humain, Rat, Souris, Chien, Lapin, Boeuf (Vache), Cheval, Cobaye, Hamster, Singe WB, IHC, IHC (p) Hôte: Lapin Polyclonal unconjugated
N° du produit ABIN604744
610,95 €
Plus frais de livraison 40,00 € et TVA
50 μL
Destination: France
Envoi sous 15 à 20 jours ouvrables
 
HGF Reactivité: Humain WB Hôte: Souris Monoclonal 489CT6-12-6 unconjugated
N° du produit ABIN1539919
434,77 €
Plus frais de livraison 40,00 € et TVA
400 μL (Autres quantités disponibles)
Destination: France
Envoi sous 14 à 17 jours ouvrables
 
HGF Reactivité: Humain WB, IHC Hôte: Souris Monoclonal C1 unconjugated
N° du produit ABIN7425623
270,55 €
Plus frais de livraison 40,00 € et TVA
100 μL (Autres quantités disponibles)
Destination: France
Envoi sous 11 à 15 jours ouvrables
 
HGF Reactivité: Humain WB, ELISA Hôte: Souris Polyclonal unconjugated
Pubmed 1 reference
N° du produit ABIN561254
508,80 €
Plus frais de livraison 40,00 € et TVA
50 μL
Destination: France
Envoi sous 8 à 9 jours ouvrables
 
HGF Reactivité: Souris WB Hôte: Lapin Polyclonal unconjugated
Pubmed 11 références
N° du produit ABIN3042443
500,50 €
Plus frais de livraison 40,00 € et TVA
100 μg
Destination: France
Envoi sous 8 à 12 jours ouvrables
 
HGF Reactivité: Humain WB Hôte: Souris Monoclonal 9B6 unconjugated
N° du produit ABIN4910609
422,08 €
Plus frais de livraison 40,00 € et TVA
100 μL
Destination: France
Envoi sous 12 à 17 jours ouvrables
 
HGF Reactivité: Chien WB, IHC, IP, ICC Hôte: Lapin Polyclonal unconjugated
N° du produit ABIN7430561
317,29 €
Plus frais de livraison 40,00 € et TVA
100 μL (Autres quantités disponibles)
Destination: France
Envoi sous 11 à 15 jours ouvrables
 
HGF Reactivité: Humain WB, IHC, IP, ICC Hôte: Lapin Polyclonal unconjugated
N° du produit ABIN7430564
229,54 €
Plus frais de livraison 40,00 € et TVA
100 μL (Autres quantités disponibles)
Destination: France
Envoi sous 11 à 15 jours ouvrables
 
HGF Reactivité: Humain WB, IHC, IP, ICC Hôte: Lapin Polyclonal unconjugated
N° du produit ABIN7437950
229,54 €
Plus frais de livraison 40,00 € et TVA
100 μL (Autres quantités disponibles)
Destination: France
Envoi sous 11 à 15 jours ouvrables
 
HGF Reactivité: Humain, Rat, Souris, Chien, Lapin, Boeuf (Vache), Cheval, Porc, Hamster, Singe, Roussette (Chauve-souris) WB Hôte: Lapin Polyclonal unconjugated
N° du produit ABIN6744770
789,41 €
Plus frais de livraison 40,00 € et TVA
100 μL
Destination: France
Envoi sous 15 à 20 jours ouvrables
 
HGF Reactivité: Humain WB, IHC, FACS, IHC (p) Hôte: Lapin Polyclonal unconjugated
N° du produit ABIN2450637
610,95 €
Plus frais de livraison 40,00 € et TVA
200 μL
Destination: France
Envoi sous 15 à 20 jours ouvrables
 
HGF Reactivité: Humain WB, IP Hôte: Souris Monoclonal A10 unconjugated
N° du produit ABIN331456
920,70 €
Plus frais de livraison 40,00 € et TVA
100 μg
Destination: France
Envoi sous 15 à 20 jours ouvrables
 
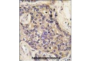
HGF Reactivité: Humain WB, IHC (p), EIA Hôte: Lapin Polyclonal unconjugated
N° du produit ABIN357192
870,77 €
Plus frais de livraison 40,00 € et TVA
0.4 mL
Destination: France
Envoi sous 17 jours ouvrables
 
  • Type Primary
    • Primary
  • Application
    • Western Blotting (WB)
    • Immunohistochemistry (IHC)
    • ELISA
    • Immunoprecipitation (IP)
    • Immunocytochemistry (ICC)
    • Immunofluorescence (Cultured Cells) (IF (cc))
    • Immunofluorescence (Paraffin-embedded Sections) (IF (p))
    • Immunohistochemistry (Paraffin-embedded Sections) (IHC (p))
    • Flow Cytometry (FACS)
    • Immunofluorescence (fixed cells) (IF/ICC)
    • Immunofluorescence (IF)
    • Immunohistochemistry (Frozen Sections) (IHC (fro))
    • Enzyme Immunoassay (EIA)
    • Immunochromatography (IC)
    • Neutralization (Neut)
    • Coating (Coat)
    • Blocking Reagent (BR)
    • Functional Studies (Func)
    • Immunodiffusion (ID)
    • Immunoelectrophoresis (IEP)
    • Proximity Ligation Assay (PLA)
    • Surface Plasmon Resonance (SPR)
    • Bio-Layer Interferometry (BLI)
  • Réactivité
    • Human
    • Mouse
    • Rat
    • Sheep
    • Dog
    • Rabbit
    • Cow
    • Horse
    • Fall Armyworm
    • Guinea Pig
    • Hamster
    • Monkey
    • Pig
    • Bat
    • Zebrafish (Danio rerio)
  • Cité dans publications
  • Images disponible
  • Sans conservateur uniquement
  • Carrier free only
  • Hote
    • Rabbit
    • Mouse
    • Human
    • Sheep
    • Goat
  • Clonalité
    • Polyclonal
    • Monoclonal
  • Clone
    • EGH2 4C12-1
    • 489CT6-12-6
    • ABS2206
    • 9H7
    • C1
    • TAK-701
    • 2F3
    • 7-2
    • 9B6
    • A10
    • ABX101
    • MM0326-5D20
    • OTI1C6
    • OTI1D2
    • RB09924
    • SAA0434
    • SFN68
    • YYB101
  • Epitope
    • AA 201-300
    • AA 521-554
    • N-Term
    • AA 495-728
    • AA 200-494
    • AA 306-471
    • AA 32-291
    • AA 32-728
    • C-Term
    • AA 1-728
    • AA 28-494
    • AA 33-64
    • AA 482-710
    • AA 495-730
    • AA 216-265
    • AA 28-209
    • AA 431-480
    • AA 482-695
    • AA 495-719
    • AA 500-600
    • AA 619-728
    • Center
    • I693T
    • Internal Region
    • K266Q
  • Conjugué
    • Inconjugué
    • Biotin
    • FITC
    • APC
    • HRP
    • PE
    • Magnetic Particles
    • Sepharose
    • AbBy Fluor® 350
    • AbBy Fluor® 488
    • AbBy Fluor® 555
    • AbBy Fluor® 594
    • AbBy Fluor® 647
    • AbBy Fluor® 680
    • AbBy Fluor® 750
    • Alexa Fluor 488
    • Alexa Fluor 555
    • Alexa Fluor 594
    • Alexa Fluor 647
    • Alexa Fluor 680
    • Alexa Fluor 750
    • CF®405S
    • CF®488A
    • CF®568
    • CF®594
    • CF®640R
    • CF®647
    • CF®740
    • Cy3
    • Cy5
    • Cy5.5
    • Cy7
    • PerCP
  • Isotype
    • IgG
    • kappa
    • IgG1
    • IgG2b
    • IgG2a
    • Ig Fraction
    • IgG2a kappa
    • IgG2b kappa
  • Type Proteine
    • Recombinant Antibody
  • Format
    • Liquid
    • Lyophilized
  • Supplier
    • antibodies-online
    • Biotium
    • ProteoGenix
    • Signalway
    • Abbexa
    • Biomatik
    • USBio
    • Acris
    • Angio-Proteomie
    • Covalab
    • NSJ Bioreagents
    • OriGene
    • Assay Biotechnology Company, Inc.
    • Aviva Systems Biology
    • Boster Bio
    • Cambio
    • Cohesion Biosciences
    • ProSci

Dernières publications pour nos HGF Anticorps

Zhang, Olsavszky, Yin, Wang, Engleitner, Öllinger, Schledzewski, Koch, Rad, Schmid, Friess, Goerdt, Hüser, Géraud, von Figura, Hartmann: "Angiocrine Hepatocyte Growth Factor Signaling Controls Physiological Organ and Body Size and Dynamic Hepatocyte Proliferation to Prevent Liver Damage during Regeneration." dans: The American journal of pathology, Vol. 190, Issue 2, pp. 358-371, (2020) (PubMed).

Ariyati, Handono, Nurdiana, Wirohadidjojo: "What is the Best Degree of Hyaluronic Acid Crosslinking in Increasing Growth Factors Level of Platelet-Rich Fibrin Lysate?" dans: Journal of stem cells & regenerative medicine, Vol. 15, Issue 1, pp. 3-7, (2019) (PubMed).

Cheng, Liu, Zhang, Lu, Wang, Assfalg, Laschinger, von Figura, Sunami, Michalski, Kleeff, Friess, Hartmann, Hüser: "Peroxisome Proliferator-Activated Receptor gamma negatively regulates liver regeneration after partial hepatectomy via the HGF/c-Met/ERK1/2 pathways." dans: Scientific reports, Vol. 8, Issue 1, pp. 11894, (2018) (PubMed).

Fan, Qu, Chu, Gao, Gao, Chen, Tian: "MicroRNA-210 promotes angiogenesis in acute myocardial infarction." dans: Molecular medicine reports, Vol. 17, Issue 4, pp. 5658-5665, (2018) (PubMed).

Ledet, Vasquez, Rauner, Bichoupan, Moroni, Nydam, Van de Walle: "The secretome from bovine mammosphere-derived cells (MDC) promotes angiogenesis, epithelial cell migration, and contains factors associated with defense and immunity." dans: Scientific reports, Vol. 8, Issue 1, pp. 5378, (2018) (PubMed).

Kou, Musich, Staal, Kang, Qin, Yao, Zhang, Wu, Tam, Huang, Hao, Vande Woude, Xie: "Differential responses of MET activations to MET kinase inhibitor and neutralizing antibody." dans: Journal of translational medicine, Vol. 16, Issue 1, pp. 253, (2018) (PubMed).

Zhi, Li, Lv, Feng, Yang, Xue, Zhao, Zhang, Wu, Jv, Jia: "Effects of PHA-665752 and vemurafenib combination treatment on in vitro and murine xenograft growth of human colorectal cancer cells with BRAFV600E mutations." dans: Oncology letters, Vol. 15, Issue 3, pp. 3904-3910, (2018) (PubMed).

Zhao, Feng, Zhang, Kou, Li, Liu, Zhang, Cui, Chu, Shen, Min: "Inhibition of peripubertal sheep mammary gland development by cysteamine through reducing progesterone and growth factor production." dans: Theriogenology, Vol. 89, pp. 280-288, (2017) (PubMed).

Wu, Guo, Su, Wu, Li: "Biocharacterization of Heat Shock Protein 90 in Acetaminophen-Treated Livers Without Conspicuous Drug Induced Liver Injury." dans: Cellular physiology and biochemistry : international journal of experimental cellular physiology, biochemistry, and pharmacology, Vol. 43, Issue 4, pp. 1562-1570, (2017) (PubMed).

Yu, He, Jiang, He, Fan, Wang, Geng, Dong: "Expression and tissue distribution of hepatocyte growth factor (HGF) and its receptor (c-Met) in alpacas (Vicugna pacos) skins associated with white and brown coat colors." dans: Acta histochemica, (2015) (PubMed).

Pseudonymes pour HGF Anticorps

hepatocyte growth factor (HGF) Anticorps
hepatocyte growth factor (Hgf) Anticorps
C230052L06Rik Anticorps
DFNB39 Anticorps
F-TCF Anticorps
HGF Anticorps
HGF/SF Anticorps
HGFB Anticorps
HPTA Anticorps
NK1 Anticorps
NK2 Anticorps
SF Anticorps
SF/HGF Anticorps
Vous êtes ici:
Chat with us!