Tel:
+49 (0)241 95 163 153
Fax:
+49 (0)241 95 163 155
E-Mail:
orders@anticorps-enligne.fr

LIG4 Anticorps

(Ligase IV, DNA, ATP-Dependent (LIG4))

Choisissez l’un des 78 anticorps LIG4 de notre liste de produits basés sur 4 publications et 30 images de validation.

Découvrez des anticorps LIG4 fiables issus d’une large sélection de fabricants renommés. Notre portefeuille permet une détection précise de LIG4 dans plusieurs espèces, y compris Human, Mouse, Rat, Cow, Dog, Horse, Guinea Pig, Monkey, Rabbit, Wheat, et prend en charge diverses applications de recherche telles que WB, IHC, IF, ELISA, ICC.

Trouvez rapidement l’anticorps adapté grâce à nos outils de recherche, de filtrage et de comparaison. Chaque page produit fournit des données de validation détaillées, des références bibliographiques et des retours d’utilisateurs. Contrairement aux ressources dédiées uniquement à la comparaison, vous pouvez acheter directement les anticorps sur notre site. Choisissez parmi des anticorps polyclonaux, monoclonaux ou recombinants LIG4, issus de différents hôtes tels que Rabbit, Mouse. Parcourez nos produits ci-dessous et commandez directement pour soutenir vos recherches en toute confiance.

Les noms alternatifs de LIG4 sont lig4, LIG4, LOC100212302, CpipJ_CPIJ005161, PTRG_09982, MCYG_05151, LOC657210, ATLIG4, lig4.L, Lig4.

78 Résultats

KD Validated LIG4 Reactivité: Humain WB, FACS Hôte: Lapin Monoclonal 23GB2515 unconjugated Recombinant Antibody
N° du produit ABIN7799266
598,92 €
Plus frais de livraison 40,00 € et TVA
100 μL
Destination: France
Envoi sous 7 à 10 jours ouvrables
 
LIG4 Reactivité: Humain, Souris, Rat WB, IHC, ELISA, IF, ICC Hôte: Lapin Polyclonal unconjugated
N° du produit ABIN6262967
525,71 €
Plus frais de livraison 40,00 € et TVA
100 μL (Autres quantités disponibles)
Destination: France
Envoi sous 9 à 11 jours ouvrables
 
LIG4 Reactivité: Humain WB, IHC Hôte: Lapin Polyclonal unconjugated
Pubmed 2 références
N° du produit ABIN3022475
320,00 €
Plus frais de livraison 40,00 € et TVA
100 μL (Autres quantités disponibles)
Destination: France
Envoi sous 8 à 10 jours ouvrables
 
LIG4 Reactivité: Humain, Souris, Rat, Boeuf (Vache), Chien, Cheval, Cobaye, Lapin WB, IHC Hôte: Lapin Polyclonal unconjugated
N° du produit ABIN2778272
470,22 €
Plus frais de livraison 40,00 € et TVA
100 μL (Autres quantités disponibles)
Destination: France
Envoi sous 6 à 9 jours ouvrables
 
LIG4 Reactivité: Humain WB, ELISA Hôte: Souris Monoclonal 2D2 unconjugated
N° du produit ABIN517510
651,20 €
Plus frais de livraison 40,00 € et TVA
100 μg
Destination: France
Envoi sous 8 à 9 jours ouvrables
 
LIG4 Reactivité: Humain WB, IHC Hôte: Lapin Polyclonal unconjugated
N° du produit ABIN630196
1.075,31 €
Plus frais de livraison 40,00 € et TVA
100 μg
Destination: France
Envoi sous 13 à 17 jours ouvrables
 
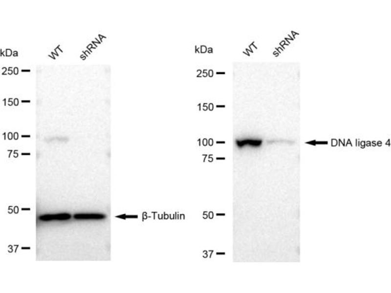
KO Validated LIG4 Reactivité: Humain WB, IHC (p) Hôte: Lapin Polyclonal unconjugated
Pubmed 2 références
N° du produit ABIN2857063
583,17 €
Plus frais de livraison 40,00 € et TVA
100 μL
Destination: France
Envoi sous 7 à 10 jours ouvrables
 
LIG4 Reactivité: Humain, Cheval, Singe WB, IHC, IHC (p) Hôte: Lapin Polyclonal unconjugated
N° du produit ABIN202951
741,67 €
Plus frais de livraison 40,00 € et TVA
100 μL
Destination: France
Envoi sous 15 à 20 jours ouvrables
 
LIG4 Reactivité: Humain, Souris, Rat WB, IHC Hôte: Lapin Polyclonal unconjugated
N° du produit ABIN7296182
330,77 €
Plus frais de livraison 40,00 € et TVA
100 μL (Autres quantités disponibles)
Destination: France
Envoi sous 17 à 20 jours ouvrables
 
LIG4 Reactivité: Humain, Souris IHC, ELISA Hôte: Lapin Polyclonal unconjugated
N° du produit ABIN7246691
449,00 €
Plus frais de livraison 40,00 € et TVA
200 μL (Autres quantités disponibles)
Destination: France
Envoi sous 9 à 13 jours ouvrables
 
LIG4 Reactivité: Humain WB Hôte: Lapin Polyclonal RB40331 unconjugated
N° du produit ABIN1881497
434,77 €
Plus frais de livraison 40,00 € et TVA
400 μL (Autres quantités disponibles)
Destination: France
Envoi sous 14 à 17 jours ouvrables
 
LIG4 Reactivité: Humain WB Hôte: Souris Polyclonal unconjugated
N° du produit ABIN948087
651,20 €
Plus frais de livraison 40,00 € et TVA
50 μg
Destination: France
Envoi sous 8 à 9 jours ouvrables
 
LIG4 Reactivité: Humain WB, IHC (p) Hôte: Lapin Monoclonal 2D9 unconjugated
N° du produit ABIN6943923
456,42 €
Plus frais de livraison 40,00 € et TVA
100 μL
Destination: France
Envoi sous 12 à 17 jours ouvrables
 
LIG4 Reactivité: Humain WB, IF (cc), IF (p) Hôte: Lapin Polyclonal AbBy Fluor® 750
N° du produit ABIN5001338
426,37 €
Plus frais de livraison 40,00 € et TVA
100 μL
Destination: France
Envoi sous 15 à 22 jours ouvrables
 
LIG4 Reactivité: Humain WB, IF (cc), IF (p) Hôte: Lapin Polyclonal AbBy Fluor® 680
N° du produit ABIN5001337
426,37 €
Plus frais de livraison 40,00 € et TVA
100 μL
Destination: France
Envoi sous 15 à 22 jours ouvrables
 
LIG4 Reactivité: Humain WB, ELISA, ICC, IHC (p), IF (cc), IF (p), IHC (fro) Hôte: Lapin Polyclonal unconjugated
N° du produit ABIN1386075
357,70 €
Plus frais de livraison 40,00 € et TVA
100 μL
Destination: France
Envoi sous 8 à 12 jours ouvrables
 
LIG4 Reactivité: Humain WB, IF (cc), IF (p) Hôte: Lapin Polyclonal Cy3
N° du produit ABIN1413945
437,53 €
Plus frais de livraison 40,00 € et TVA
100 μL
Destination: France
Envoi sous 15 à 22 jours ouvrables
 
LIG4 Reactivité: Humain WB, IF (cc), IF (p) Hôte: Lapin Polyclonal Cy5
N° du produit ABIN1413946
437,53 €
Plus frais de livraison 40,00 € et TVA
100 μL
Destination: France
Envoi sous 15 à 22 jours ouvrables
 
LIG4 Reactivité: Humain WB, IF (cc), IF (p) Hôte: Lapin Polyclonal Cy7
N° du produit ABIN1413948
437,53 €
Plus frais de livraison 40,00 € et TVA
100 μL
Destination: France
Envoi sous 15 à 22 jours ouvrables
 
LIG4 Reactivité: Humain WB, ELISA, IHC (p), IHC (fro) Hôte: Lapin Polyclonal HRP
N° du produit ABIN1413950
437,53 €
Plus frais de livraison 40,00 € et TVA
100 μL
Destination: France
Envoi sous 15 à 22 jours ouvrables
 
  • Type Primary
    • Primary
  • Application
    • Western Blotting (WB)
    • Immunohistochemistry (IHC)
    • Immunofluorescence (IF)
    • ELISA
    • Immunocytochemistry (ICC)
    • Immunofluorescence (Cultured Cells) (IF (cc))
    • Immunofluorescence (Paraffin-embedded Sections) (IF (p))
    • Immunohistochemistry (Paraffin-embedded Sections) (IHC (p))
    • Immunohistochemistry (Frozen Sections) (IHC (fro))
    • Flow Cytometry (FACS)
  • Réactivité
    • Human
    • Mouse
    • Rat
    • Cow
    • Dog
    • Horse
    • Guinea Pig
    • Monkey
    • Rabbit
    • Wheat
  • Cité dans publications
  • Images disponible
  • Carrier free only
  • Hote
    • Rabbit
    • Mouse
  • Clonalité
    • Polyclonal
    • Monoclonal
  • Clone
    • 23GB2515
    • 2D2
    • 2D9
    • ADHG-12
    • R08-3B4
    • RB40331
  • Epitope
    • AA 51-150
    • N-Term
    • AA 239-267
    • C-Term
    • pThr650
    • AA 1-609
    • AA 1-876
    • AA 1-911
    • AA 275-324
    • AA 560-640
    • AA 591-640
    • AA 612-911
    • AA 616-665
    • AA 802-911
    • Center
    • Gly619
    • Internal Region
    • Ser759
    • Thr650
  • Conjugué
    • Inconjugué
    • Alexa Fluor 488
    • Alexa Fluor 555
    • Alexa Fluor 594
    • Alexa Fluor 647
    • Alexa Fluor 680
    • Alexa Fluor 750
    • Biotin
    • AbBy Fluor® 350
    • AbBy Fluor® 488
    • AbBy Fluor® 555
    • AbBy Fluor® 594
    • AbBy Fluor® 647
    • AbBy Fluor® 680
    • AbBy Fluor® 750
    • Alexa Fluor 350
    • Alexa Fluor 405
    • Cy3
    • Cy5
    • Cy5.5
    • Cy7
    • FITC
    • HRP
  • Isotype
    • IgG
    • Ig Fraction
    • IgG2a
  • Type Proteine
    • Recombinant Antibody
  • Format
    • Liquid
    • Lyophilized
  • Grade
    • KD Validated
    • KO Validated
  • Supplier
    • antibodies-online
    • Signalway
    • Boster Bio
    • Assay Biotechnology Company, Inc.
    • Cohesion Biosciences
    • Abbexa
    • Aviva Systems Biology
    • ProteoGenix

Dernières publications pour nos LIG4 Anticorps

Hu, Shiflett, Kobayashi, Chao, Wilson, Mohr, Huang: "TOP2β-Dependent Nuclear DNA Damage Shapes Extracellular Growth Factor Responses via Dynamic AKT Phosphorylation to Control Virus Latency." dans: Molecular cell, Vol. 74, Issue 3, pp. 466-480.e4, (2019) (PubMed).

Zhang, Chang, Sun, Chen, Yang, Tang, Jing, Kang, He, Wu, Wei, Wang, Xu, Zhu, Shen, Zeng, Wang, Liu, Zhang, Mao, Jiang, Sun: "Histone H3K27 methylation modulates the dynamics of FANCD2 on chromatin to facilitate NHEJ and genome stability." dans: Journal of cell science, Vol. 131, Issue 12, (2018) (PubMed).

Li, Zhang, Chen, Guo, Zhang, Tang, Xu, Zhang, Tao, Wang, Jiang, Sun, Mao: "Impaired DNA double-strand break repair contributes to the age-associated rise of genomic instability in humans." dans: Cell death and differentiation, Vol. 23, Issue 11, pp. 1765-1777, (2017) (PubMed).

Ly, Teitz, Kim, Shoshani, Skaletsky, Fachinetti, Page, Cleveland: "Selective Y centromere inactivation triggers chromosome shattering in micronuclei and repair by non-homologous end joining." dans: Nature cell biology, Vol. 19, Issue 1, pp. 68-75, (2017) (PubMed).

Zhu, Fisher, Bessho, Peng: "Protein phosphatase 1 and phosphatase 1 nuclear targeting subunit-dependent regulation of DNA-dependent protein kinase and non-homologous end joining." dans: Nucleic acids research, Vol. 45, Issue 18, pp. 10583-10594, (2017) (PubMed).

Sousa, Zub, Aas, Hanssen-Bauer, Demirovic, Sarno, Tian, Liabakk, Slupphaug: "An inverse switch in DNA base excision and strand break repair contributes to melphalan resistance in multiple myeloma cells." dans: PLoS ONE, Vol. 8, Issue 2, pp. e55493, (2013) (PubMed).

Ching, Dobner, Koyuncu: "The human adenovirus type 5 E1B 55-kilodalton protein is phosphorylated by protein kinase CK2." dans: Journal of virology, Vol. 86, Issue 5, pp. 2400-15, (2012) (PubMed).

Ducu, Dayaram, Marriott: "The HTLV-1 Tax oncoprotein represses Ku80 gene expression." dans: Virology, Vol. 416, Issue 1-2, pp. 1-8, (2011) (PubMed).

Pseudonymes pour LIG4 Anticorps

ligase IV, DNA, ATP-dependent (lig4) Anticorps
DNA ligase 4 (LIG4) Anticorps
DNA ligase 4 (LOC100212302) Anticorps
DNA ligase 4 (CpipJ_CPIJ005161) Anticorps
DNA ligase 4 (PTRG_09982) Anticorps
DNA ligase 4 (MCYG_05151) Anticorps
DNA ligase 4 (LOC657210) Anticorps
ATP-dependent DNA ligase implicated in dsDNA break repair via nonhomologous end-joining (LIG4) Anticorps
DNA ligase IV (ATLIG4) Anticorps
ligase IV, DNA, ATP-dependent L homeolog (lig4.L) Anticorps
ligase IV, DNA, ATP-dependent (Lig4) Anticorps
DNA ligase 4 (Lig4) Anticorps
5830471N16Rik Anticorps
DNA LIGASE IV Anticorps
DNL4 Anticorps
lig4 Anticorps
LIG4 Anticorps
lig4-A Anticorps
tiny Anticorps
zgc:165595 Anticorps
Vous êtes ici:
Chat with us!