Tel:
+49 (0)241 95 163 153
Fax:
+49 (0)241 95 163 155
E-Mail:
orders@anticorps-enligne.fr

SNRPE Anticorps

(Small Nuclear Ribonucleoprotein Polypeptide E (SNRPE))

Choisissez l’un des 83 anticorps SNRPE de notre liste de produits basés sur 42 images de validation.

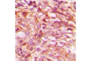
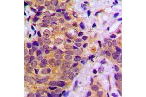
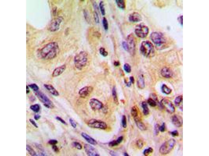
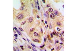
Découvrez des anticorps SNRPE fiables issus d’une large sélection de fabricants renommés. Notre portefeuille permet une détection précise de SNRPE dans plusieurs espèces, y compris Mouse, Human, Rat, Monkey, Chicken, Dog, Cow, Guinea Pig, Zebrafish (Danio rerio), Bat, Goat, Hamster, Pig, Xenopus laevis, et prend en charge diverses applications de recherche telles que IF (cc), IF (p), WB, ELISA, IHC (p).

Trouvez rapidement l’anticorps adapté grâce à nos outils de recherche, de filtrage et de comparaison. Chaque page produit fournit des données de validation détaillées, des références bibliographiques et des retours d’utilisateurs. Contrairement aux ressources dédiées uniquement à la comparaison, vous pouvez acheter directement les anticorps sur notre site. Choisissez parmi des anticorps polyclonaux, monoclonaux ou recombinants SNRPE, issus de différents hôtes tels que Rabbit, Chicken. Parcourez nos produits ci-dessous et commandez directement pour soutenir vos recherches en toute confiance.

Les noms alternatifs de SNRPE sont SNRPE, snrpe.L, Snrpe, snrpe.

83 Résultats

SNRPE Reactivité: Humain WB, IF, IHC (p), FACS Hôte: Lapin Polyclonal RB10940-RB17180 unconjugated
N° du produit ABIN392249
 
SNRPE Reactivité: Humain, Souris, Rat WB, IHC (p), IP Hôte: Lapin Polyclonal unconjugated
N° du produit ABIN2854894
 
SNRPE Reactivité: Humain WB, IHC, ELISA, IF Hôte: Lapin Polyclonal unconjugated
N° du produit ABIN7169865
 
SNRPE Reactivité: Humain WB, IHC (p) Hôte: Lapin Polyclonal RB10945 unconjugated
N° du produit ABIN392253
 
SNRPE Reactivité: Humain, Souris, Rat, Poulet, Chien, Singe WB, IHC, IF, IC Hôte: Lapin Polyclonal unconjugated
N° du produit ABIN7295032
 
SNRPE Reactivité: Humain WB, IHC, IF/ICC, FACS Hôte: Lapin Polyclonal unconjugated
N° du produit ABIN3003507
 
SNRPE Reactivité: Rat WB, ELISA, IF (cc), IF (p), IHC (p), IHC (fro) Hôte: Lapin Polyclonal unconjugated
N° du produit ABIN745373
 
SNRPE Reactivité: Souris, Rat WB, ELISA, IF (cc), IF (p), IHC (p), IHC (fro) Hôte: Lapin Polyclonal unconjugated
N° du produit ABIN756787
 
SNRPE Reactivité: Souris, Rat ELISA, IF (cc), IF (p), IHC (p), IHC (fro) Hôte: Lapin Polyclonal unconjugated
N° du produit ABIN682888
 
SNRPE Reactivité: Humain, Souris, Rat, Poulet, Chien, Singe, Poisson zèbre (Danio rerio), Boeuf (Vache), Cobaye, Roussette (Chauve-souris), Hamster, Porc, Xenopus laevis WB Hôte: Lapin Polyclonal unconjugated
N° du produit ABIN6748184
 
SNRPE Reactivité: Humain, Souris, Rat, Poulet, Chien, Singe, Boeuf (Vache), Cobaye, Chévre, Roussette (Chauve-souris), Hamster, Porc WB Hôte: Lapin Polyclonal unconjugated
N° du produit ABIN6748183
 
SNRPE Reactivité: Humain, Souris, Rat, Poulet, Poisson zèbre (Danio rerio) WB, IHC Hôte: Lapin Polyclonal unconjugated
N° du produit ABIN7299114
 
SNRPE Reactivité: Humain, Souris WB, IHC, ELISA Hôte: Lapin Polyclonal unconjugated
N° du produit ABIN1532038
 
SNRPE Reactivité: Humain, Souris, Rat WB, IHC, ELISA Hôte: Lapin Polyclonal unconjugated
N° du produit ABIN1531496
 
SNRPE Reactivité: Humain, Souris, Rat, Poulet WB, IHC, IP Hôte: Lapin Polyclonal unconjugated
N° du produit ABIN7303000
 
SNRPE Reactivité: Humain ELISA Hôte: Lapin Polyclonal Biotin
N° du produit ABIN7169866
 
SNRPE Reactivité: Humain Hôte: Lapin Polyclonal FITC
N° du produit ABIN7169867
 
SNRPE Reactivité: Humain ELISA Hôte: Lapin Polyclonal HRP
N° du produit ABIN7169868
 
SNRPE Reactivité: Souris WB, ELISA, IF (cc), IF (p), IHC (p), IHC (fro), ICC Hôte: Lapin Polyclonal unconjugated
N° du produit ABIN1713950
 
SNRPE Reactivité: Souris ELISA, IF (cc), IF (p), IHC (p), IHC (fro) Hôte: Lapin Polyclonal unconjugated
N° du produit ABIN756682
 
  • Type Primary
    • Primary
  • Application
    • Immunofluorescence (Cultured Cells) (IF (cc))
    • Immunofluorescence (Paraffin-embedded Sections) (IF (p))
    • Western Blotting (WB)
    • ELISA
    • Immunohistochemistry (Paraffin-embedded Sections) (IHC (p))
    • Immunohistochemistry (IHC)
    • Immunohistochemistry (Frozen Sections) (IHC (fro))
    • Immunofluorescence (IF)
    • Immunoprecipitation (IP)
    • Flow Cytometry (FACS)
    • Immunochromatography (IC)
    • Immunocytochemistry (ICC)
    • Immunofluorescence (fixed cells) (IF/ICC)
  • Réactivité
    • Mouse
    • Human
    • Rat
    • Monkey
    • Chicken
    • Dog
    • Cow
    • Guinea Pig
    • Zebrafish (Danio rerio)
    • Bat
    • Goat
    • Hamster
    • Pig
    • Xenopus laevis
  • Images disponible
  • Carrier free only
  • Hote
    • Rabbit
    • Chicken
  • Clonalité
    • Polyclonal
  • Clone
    • RB10940-RB17180
    • RB10945
  • Epitope
    • pSer365
    • pThr401
    • pThr753
    • pSer729
    • pThr599
    • AA 1-92
    • AA 330-380
    • N-Term
    • pSer446
    • pSer602
    • AA 30-79
    • AA 411-460
    • AA 424-453
    • AA 571-620
    • AA 576-625
    • AA 580-609
    • AA 717-766
    • C-Term
    • Center
    • Internal Region
    • Thr735
    • pSer444
    • pSer753
  • Conjugué
    • Inconjugué
    • Biotin
    • FITC
    • Alexa Fluor 488
    • Alexa Fluor 555
    • Alexa Fluor 594
    • Alexa Fluor 647
    • Alexa Fluor 680
    • Alexa Fluor 750
    • HRP
    • AbBy Fluor® 350
    • AbBy Fluor® 488
    • AbBy Fluor® 555
    • AbBy Fluor® 594
    • AbBy Fluor® 647
    • AbBy Fluor® 680
    • AbBy Fluor® 750
    • Cy3
    • Cy5
    • Cy5.5
    • Cy7
  • Isotype
    • IgG
    • Ig Fraction
    • IgY
  • Format
    • Liquid
    • Lyophilized
  • Supplier
    • antibodies-online
    • Signalway
    • Assay Biotechnology Company, Inc.
    • Abbexa
    • Cohesion Biosciences
    • FabGennix
    • Aviva Systems Biology
    • ProSci

Dernières publications pour nos SNRPE Anticorps

Beltran-Sastre, Benisty, Burnier, Berger, Serrano, Kiel: "Tuneable endogenous mammalian target complementation via multiplexed plasmid-based recombineering." dans: Scientific reports, Vol. 5, pp. 17432, (2015) (PubMed).

Hillier, Fulton, Fulton, Graves, Pepin, Wagner-McPherson, Layman, Maas, Jaeger, Walker, Wylie, Sekhon, Becker, OLaughlin, Schaller, Fewell, Delehaunty, Miner, Nash, Cordes, Du, Sun, Edwards et al.: "The DNA sequence of human chromosome 7. ..." dans: Nature, Vol. 424, Issue 6945, pp. 157-64, (2003) (PubMed).

Yuryev, Ono, Goff, Macaluso, Wennogle: "Isoform-specific localization of A-RAF in mitochondria." dans: Molecular and cellular biology, Vol. 20, Issue 13, pp. 4870-8, (2000) (PubMed).

Barnier, Papin, Eychène, Lecoq, Calothy: "The mouse B-raf gene encodes multiple protein isoforms with tissue-specific expression." dans: The Journal of biological chemistry, Vol. 270, Issue 40, pp. 23381-9, (1995) (PubMed).

Eychène, Dusanter-Fourt, Barnier, Papin, Charon, Gisselbrecht, Calothy: "Expression and activation of B-Raf kinase isoforms in human and murine leukemia cell lines." dans: Oncogene, Vol. 10, Issue 6, pp. 1159-65, (1995) (PubMed).

Stephens, Sithanandam, Copeland, Kaplan, Rapp, Morrison: "95-kilodalton B-Raf serine/threonine kinase: identification of the protein and its major autophosphorylation site." dans: Molecular and cellular biology, Vol. 12, Issue 9, pp. 3733-42, (1992) (PubMed).

Sithanandam, Kolch, Duh, Rapp: "Complete coding sequence of a human B-raf cDNA and detection of B-raf protein kinase with isozyme specific antibodies." dans: Oncogene, Vol. 5, Issue 12, pp. 1775-80, (1991) (PubMed).

Pseudonymes pour SNRPE Anticorps

small nuclear ribonucleoprotein polypeptide E (SNRPE) Anticorps
small nuclear ribonucleoprotein polypeptide E L homeolog (snrpe.L) Anticorps
small nuclear ribonucleoprotein E (Snrpe) Anticorps
small nuclear ribonucleoprotein polypeptide E (snrpe) Anticorps
small nuclear ribonucleoprotein polypeptide E (Snrpe) Anticorps
AL022645 Anticorps
B-raf Anticorps
b-raf Anticorps
C76690 Anticorps
HYPT11 Anticorps
Sm-E Anticorps
sm-e Anticorps
SME Anticorps
sme Anticorps
SmE Anticorps
snRNP-E Anticorps
zgc:56682 Anticorps
Vous êtes ici:
Chat with us!